نوسولوژی
-

کلینیک و پاراکلینیک؛ فرق بالینی و پیرابالینی چیست
معاینه بالینی (معاینهٔ بدنی / آزمایش بالینی / سمپتوماتولوژی یا «چکآپ») (Clinical examination) در پزشکی و پرستاری به دانش درک…
مطالعه مطلب ... این بیماریها را با فیبرومیالژیا اشتباه نگیرید؛ علائم فیبرومیالژیا مشابه
از آنجا که هیچ آزمایشی برای این اختلال درد مزمن (فیبرومیالژیا) وجود ندارد، پزشک شما ممکن است برای تشخیص این…
مطالعه مطلب ...-

معیارهای درجهبندی سرطان سینه؛ تعیین مراحل سرطان سینه
درجه بندی و تعیین مراحل سرطان سینه بر اساس میزان وجود سرطان در بدن و اینکه برای اولین بار در کدام…
مطالعه مطلب ... -

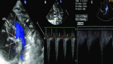
مجرای شریانی باز (PDA) چیست؛ علایم و درمان مجرای شریانی باز
مجرای شریانی باز (PDA) چیست؟ بیماری مجرای شریانی باز یک بیماری قلبی است که عموماً در هفتهها یا ماههای اولیه…
مطالعه مطلب ... -

لوپوس اریتماتوز سیستمیک
لوپوس اریتماتوز سیستمیک چیست؟ لوپوس اریتماتوز سیستمیک SLE یک بیماری خودایمنی مزمن است که می تواند ارگانهای متعددی بخصوص پوست،…
مطالعه مطلب ... -

لوپوس و 8 محرک احتمالی آن
اسرارآمیزترین نکته درباره لوپوس این است که دلایل یا درمان ریشهکن کننده آن نامشخص هستند. در شرایطی که این بیماری…
مطالعه مطلب ... -

خلاصه تعاریف علائم قابل مشاهده در مصاحبه بالینی
خلاصه تعاریف علائم قابل مشاهده در مصاحبه بالینی شهرام عباسی دادگر: با سلامی گرم خدمت همه دوستان ¤ انتزاع (Abstraction): توانایی تفکیک…
مطالعه مطلب ... -

چند روش ساده برای تشخیص آسم
چند روش ساده برای تشخیص آسم یکی از راههای تشخیص و تمیز دادن بین علائم آلرژی و آسم این است:…
مطالعه مطلب ... -

پروتئین واکنشیC و قلب شما شاخصی جدید برای پیش بینی بیماری قلبی
پروتئین واکنشیC و قلب شما شاخصی جدید برای پیش بینی بیماری قلبی روزنامه شرق: هنگامی که کلسترول LDL به دیواره…
مطالعه مطلب ... -

با بیماری لوپوس بیشتر آشنا شویم [قسمت دوم]
با بیماری لوپوس بیشتر آشنا شویم [قسمت دوم] شب گذشته برای تان از بیماری خود ایمنی لوپوس گفتیم که سبب…
مطالعه مطلب ...
- 1
- 2








